Innovative SABR Approaches for Oligometastatic Cancer treatment

Stereotactic radiotherapy is a highly accurate form of high-dose radiotherapy, typically delivered in a limited number of sessions – usually between one and five. This treatment has a high chance of reducing or completely removing the cancerous area being targeted. The precision of the radiation dosing means that the side effects associated with SABR are generally negligible.

Stereotactic radiotherapy treatment for cancer patients with dr christos mikropoulos

We Accept All Major Insurances
In The UK

We have created agreements with various health insurance providers such as BUPA, Axa, Aviva, Vitality, WPA, and many others. We take care of the communication with the insurance companies directly, which saves you the trouble of paying upfront and getting reimbursed later. If you are paying out of pocket, we will provide you with clear and honest information about consultation fees and any potential expenses for additional treatments when arranging your appointment. Contact us at christie.harding@outlook.com to learn more.

SABR radiotherapy guilford and windsor - dr christos mikropoulos

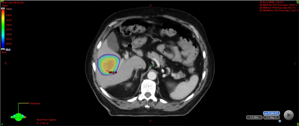
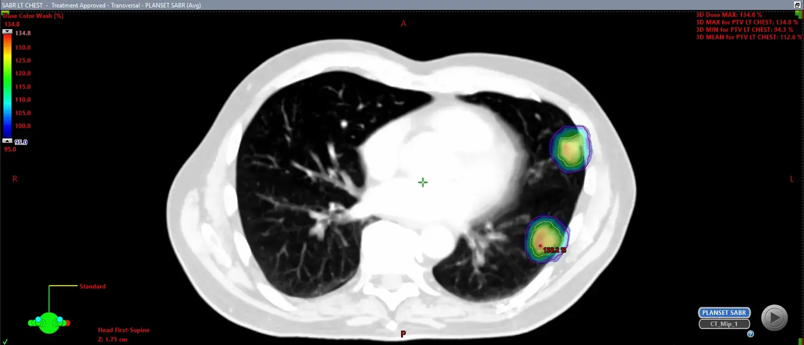
Understanding and Managing Oligometastatic Cancer

Oligometastatic cancer is a type of metastasis where cancer cells have disseminated to a restricted number of distinct sites within the body. If your cancer has progressed to an oligometastatic state, recent advancements in clinical oncology suggest that these new tumour sites may be amenable to treatment with local therapies, including radiotherapy. Dr Crispin Hiley, a highly respected consultant clinical oncologist, offers expert guidance on oligometastatic cancer, explaining precisely what it entails, how it is diagnosed and assessed, and what the outlook is, along with other pertinent points.

Oligometastatic SABR Frequently Asked Questions

Can’t find what you’re looking for?

Oligometastatic cancer refers to a type of cancer that has disseminated from its original (primary) location – whether it be lung, breast, or colon cancer – to a limited number of secondary sites. This condition is often categorised based on the number of metastases present, which may include a solitary isolated metastasis, three or fewer metastases, or five or fewer metastases. Some definitions extend to include cancers with up to ten metastases.

However, the most widely accepted definition of oligometastatic cancer currently applies to patients with metastatic disease who have five or fewer sites of cancer in other organs. These sites can include bone, liver, or brain metastases. The objective is to differentiate this group of patients with a small number of metastatic sites from those with widespread metastatic disease affecting multiple locations. This distinction is crucial because, despite both groups being classified as stage 4 cancer, the treatment approaches for these two scenarios differ significantly.

It remains unclear why some patients develop cancer that disseminates to only one or two sites, while others experience widespread cancer.

Extensive research is currently being conducted to elucidate why tumours exhibit disparate behaviour, despite appearing virtually identical under microscopic examination. Specifically, researchers are investigating why, in one patient, tumours may spread to only one or two sites, whereas in another patient, they may disseminate to multiple locations (exceeding five or even ten sites).

Considerable attention has been focused on this aspect of oligometastatic cancer, as it is believed that, despite patients having advanced cancer (stage 4 with five or fewer sites of metastatic disease), overall survival can be prolonged, and in a small proportion of cases, potentially even cured. However, achieving this outcome would require treatment combining chemotherapy with local therapies – such as surgery, radiation, or radiofrequency ablation – applied directly to the various metastatic sites to control the cancer.

Cancer is deemed cured when it is entirely eradicated and does not recur, a state also referred to as complete remission. Your doctor may declare that your cancer is cured if you remain disease-free for more than ten years following treatment.

In certain instances, oligometastatic cancer can be cured. However, more extensive and long-term clinical trials are required to determine how many individuals with oligometastatic cancer remain disease-free for ten years post-treatment.

A phase two clinical trial known as SABR-COMET revealed that over four in ten participants survived for at least five years after undergoing radiotherapy in conjunction with standard treatment, including those with oligometastatic cancer affecting the breast, prostate, oesophagus, skin, and colon.

Further research is required to fully comprehend survival rates for oligometastatic disease. It is probable that these rates will vary depending on the nature of disease progression – whether it is de novo, metachronous, or induced – and the location of the metastases. Additionally, survival rates may be influenced by the type of primary cancer, although not all studies have confirmed this correlation.

Your doctor is the most suitable person to provide guidance on survival rates specific to your cancer. They will be able to take into account all the unique factors that may impact your prognosis.

It is essential to acknowledge that while side effects can arise with SABR, they are generally mild and transient, causing minimal disruption to most patients’ daily routines. The frequency and severity of side effects can fluctuate based on factors such as the size and location of the tumour, the dose of radiation administered, and your individual health concerns. Common mild to moderate side effects, such as fatigue, are typically well-tolerated and manageable with supportive care measures. Before commencing treatment, I will provide you with a contact number that offers access to support and care around the clock, should you have any concerns about your symptoms.

Your doctor is the most suitable person to provide guidance on survival rates specific to your cancer. They will be able to take into account all the unique factors that may impact your prognosis.

Our Treatment Locations

You can book appointments at any of the three centres below as per the availabilities specified. If you would like to schedule an appointment, please send an email directly to christie.harding@outlook.com or send your enquiry through the enquiry form on this page.

A modern medical reception area with a curved white desk, wood accents, and GenesisCare signage on the wall welcomes visitors seeking an oncologist in Windsor. Bright and clean, the space features computers, office supplies, and small flags on the desk.

Genesis Care Guilford

SERVICES TIME

Wednesdays (alternate weeks): 4pm onwards

A modern brick building with large windows and the GenesisCare logo on the facade, where you can find a leading oncologist in Guildford & Windsor, surrounded by greenery and a small garden under a clear blue sky.

Genesis Care Windsor

SERVICES TIME

Wednesdays (alternate weeks): 4pm onwards

The image shows the exterior of Mount Alvernia Hospital, a brick building with a white main entrance canopy and parking spaces marked in yellow. The hospital is home to leading oncologists in Guildford, specialising in testicular cancer. The sky above is partly cloudy.

Mount Alvernia Hospital

Address:

BMI St Martha Oncology Centre, 46 Harvey Road, Guildford, Surrey, GU1 3LX, England, UK

SERVICES TIME

Fridays from 2pm

What’s Next?

Make a step to start your journey to recovery with Dr Christos Mikropoulos.